About Us
Company Profile
Shenzhen Best Smile Tech Co., Ltd delivers integrated clear aligner solutions including treatment planning, precision manufacturing, treatment plan optimization, and orthodontic products—empowering partners to scale clear aligner services with predictable outcomes and operational efficiency.
Since established in 2018, we have collaborated with diverse industry partners, including clear aligner brands, DTC clear aligners, orthodontic labs, chain clinics, and individual dental practices. Handling 30,000+ clear aligner cases to date, our commitment to rigorous professionalism and customer-centric service has earned industry-wide trust, where collaboration meets excellence.
Philosophy
To be Your Trusted Innovation Partner: Delivering clinically intelligent aligners, seamless digital workflows, and collaborative support—so you achieve predictable results, practice growth, and outstanding patient experiences.
Empowering Dentists to Transform Smiles with Precision-Driven Clear Aligner Solutions.
Predictability,Automation+,Growth Partnership
Best Smile Tech
Your one-stop clear aligner solutions partner.
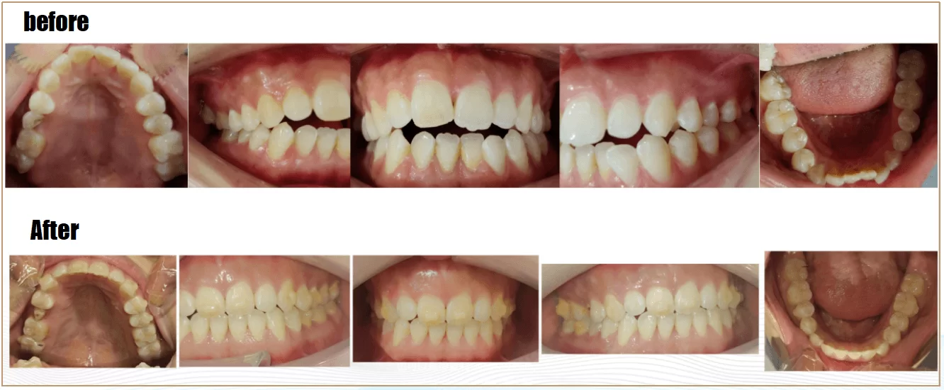
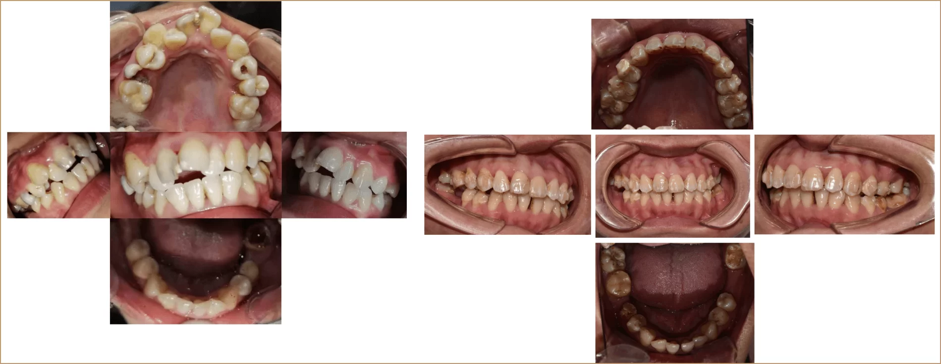
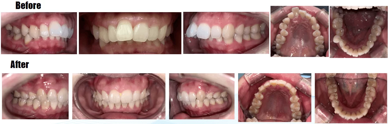
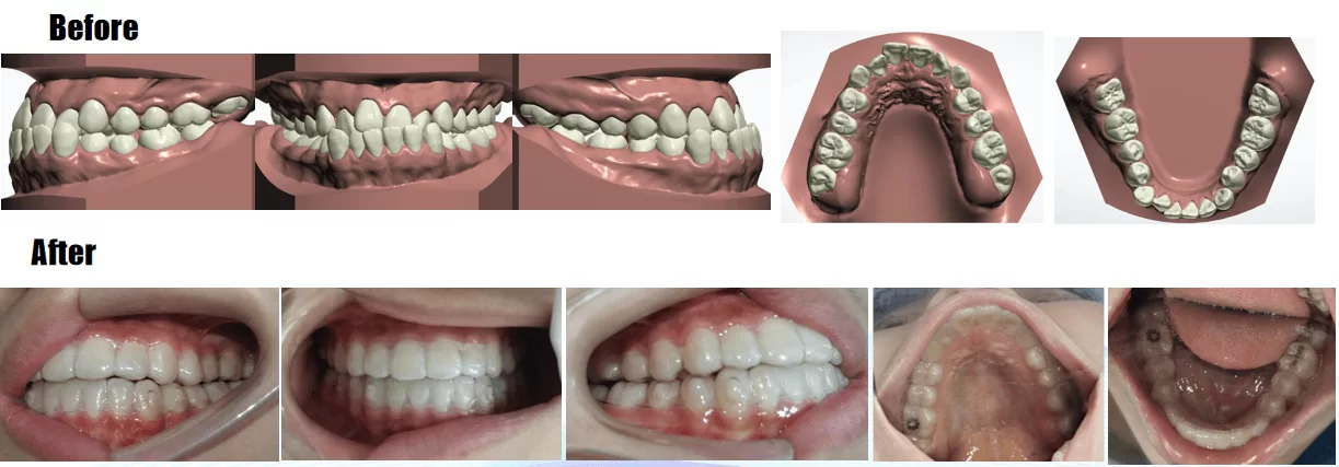
Case Gallery




















Request a Quote Today
Reach Us
Location :
705, Huanggekeng Shareholder Bldg, Qinglin Rd, Longgang, Shenzhen, Guangdong, China
Email :
info@bestsmiletech.com
Phone :
+86 13715252781
